|
Salud

¿Cuáles son los síntomas de la viruela del mono y cómo se contagia?

De acuerdo con información de la Organización Mundial de la Salud, los síntomas de esta enfermedad suelen ser fiebre, dolor de cabeza intenso, dolores musculares, ganglios linfáticos inflamados, erupción o lesiones cutáneas, entre otros
17/07/2022 14:16

La viruela del mono es una enfermedad causada por el virus del mismo nombre. Se trata de una zoonosis vírica, por lo que puede propagarse de animales a humanos, y de persona a persona, según datos de la Organización Mundial de la Salud actualizados al 12 de julio.

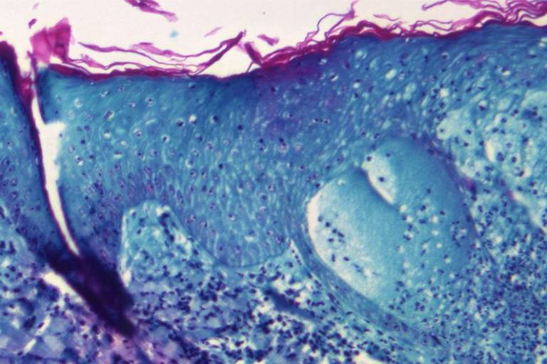
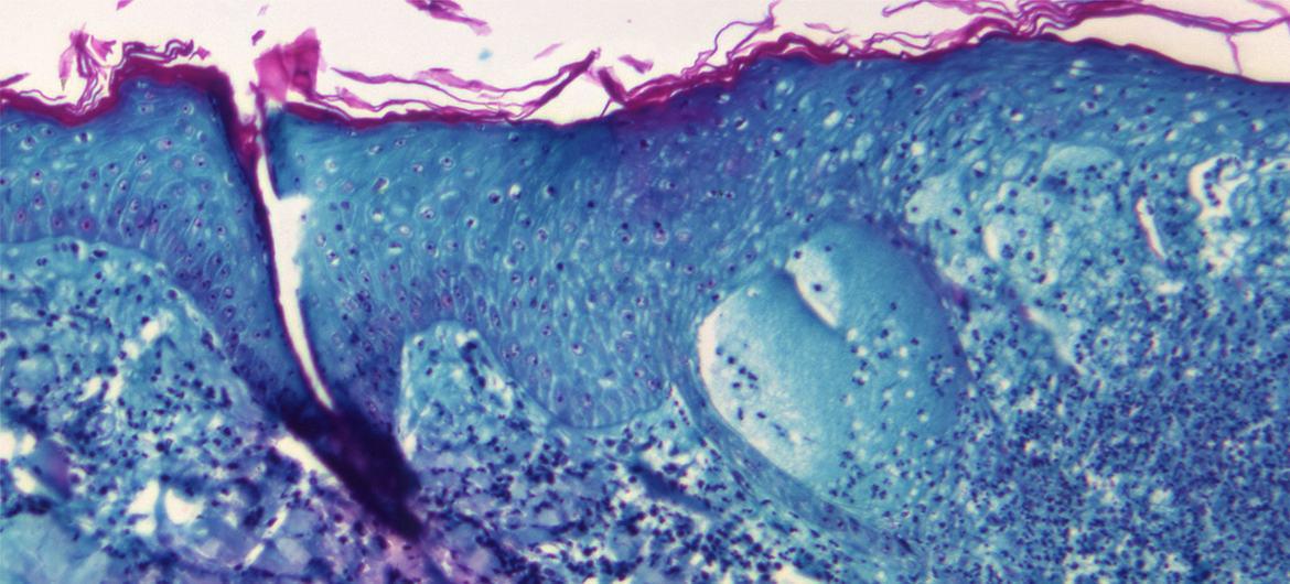
Los síntomas de esta enfermedad, cuyo primer caso fue confirmado el sábado en Sinaloa, suelen ser fiebre, dolor de cabeza intenso, dolores musculares y de espalda, falta de energía, ganglios linfáticos inflamados y lesiones cutáneas o erupción.

En el caso de las erupciones, aparecen de uno a tres días después del inicio de la fiebre.

Las lesiones pueden ser planas o ligeramente elevadas, con líquido claro o amarillento; después pueden formar costras, secarse y posteriormente caerse.

Las erupciones puede concentrarse en la cara, palmas de las manos y plantas de los pies, pero también pueden presentarse en los genitales, ojos y la boca.

Según la OMS, los síntomas pueden durar entre dos y cuatro semanas, después desaparecen por sí solos sin tratamiento.

Esta enfermedad se puede contraer por contacto físico con una persona infectada, que es contagiosa mientras presentan los síntomas.

Las erupciones y el líquido, pus o sangre de las mismas, así como las costras son infecciosos; también lo son las prendas de vestir, la ropa de cama, toallas u objetos como los cubiertos y platos con los que ha tenido contacto el paciente infectado y pueden contagiar a otras personas.

Adicional a esto, son consideradas infecciosas las úlceras, llagas o lesiones de la boca. Señala la OMS que las personas que interactúan estrechamente con alguien enfermo corren mayor riesgo de infección; incluye a personal médico, integrantes del hogar y parejas sexuales.

La viruela del mono no es exclusiva de un sector de la población, ya que puede contagiarse cualquier persona que haya estado en contacto estrecho con alguien infectado.

En el caso de los niños, son más propensos a tener síntomas más graves en comparación con adolescentes y adultos.