|
El futuro, hoy

Decenas de miles sufren secuelas de Covid-19 en México y tendrá un alto costo

El coronavirus incide a nivel celular y las consecuencias en el cuerpo humano son tan variadas como desconocidas. Hasta el momento, las secuelas del virus SARS-CoV-2, causante de esta enfermedad, incluyen síntomas leves o graves, pasajeros o crónicos
07/03/2021 10:25

CIUDAD DE MÉXICO (SinEmbargo)._ “La salud y los muertos ya no regresan. Una vez que te infectaste (de coronavirus) es una ruleta”, dijo en entrevista el doctor Fidel Alejandro Sánchez Flores.

Cualquier persona recuperada puede padecer síntomas graves o leves post-Covid porque tienen que ver con una serie de factores de riesgo que van más allá de la edad, el género y las condiciones preexistentes de salud.

“El 80 por ciento de las personas que se han infectado tienen secuelas menores y parece ser que no tienen condiciones graves. El problema es que un 20 y hasta un 30 por ciento sí empiezan a presentar esas complicaciones y esas secuelas graves”, abundó el investigador en jefe de la Unidad Universitaria de Secuenciación Masiva y Bioinformática del Instituto de Biotecnología de la Universidad Nacional Autónoma de México.

Desde que inició la pandemia y hasta el 18 de febrero de 2020, la Secretaría de Salud contabilizó 2 millones 13 mil 563 casos confirmados de Covid-19, de los cuales 379 mil 154 (18.8 por ciento) fueron casos de hospitalización.

Un cálculo de la Unidad de Datos de SinEmbargo, con base en cifras de 16 fuentes oficiales nacionales e internacionales, indica que en promedio y hasta el momento, 26.4 por ciento de las personas hospitalizadas en el mundo han sufrido secuelas cardiovasculares, pulmonares, psicológicas y/o renales y hepáticas.

Dichas secuelas -que son las más documentadas al cierre de esta edición- inciden a mediano y largo plazo, están relacionadas con el incremento de la tasa de mortandad del virus y con la reducción de la calidad de vida de las personas que afligen.

Considerando la tasa de hospitalización en México y el grado de presencia de secuelas a largo plazo, que han sido documentadas a partir de casos de hospitalización en el mundo y que podrían estar relacionadas con la Covid-19, al corte del 18 de febrero habrían 100 mil dos mexicanas y mexicanos con riesgo de padecer secuelas de tipo cardiovascular, pulmonar, psicológico y/o renal y hepático. Ello implica e implicará gastos de bolsillo y/o costos a cargo de los sistemas de salud público y privado.

Asimismo y con base en el costo promedio de tratamientos en instituciones públicas nacionales de las enfermedades cardiovasculares, pulmonares, psicológicas y/o renales y hepáticas ligadas a secuelas de coronavirus o similares con más presencia en México.

SinEmbargo calculó que el costo medio mínimo mensual aproximado por persona para cubrir necesidades médicas relacionadas con secuelas de la Covid-19 es de 15 mil 967 pesos. Una cantidad de dinero que multiplicada por la población en mayor riesgo de padecer secuelas graves y/o a largo plazo, implica un monto cercano a 1.6 mil millones de pesos.

Dicha cantidad de recursos -que solo cubriría un mes de tratamiento por costos de consulta, terapia, medicamentos, urgencia y (en su caso) intervenciones quirúrgicas- es equiparable al 1.1 por ciento del presupuesto neto aprobado para el sector Salud en 2021, o bien, el equivalente al 0.01 por ciento del Producto Interno Bruto nacional.

Las cifras referidas en este reportaje son un ejercicio cuya finalidad es dimensionar el impacto económico y social que pueden tener las secuelas del coronavirus en México. Por lo tanto, no deben considerarse como un indicador de la situación nacional. Los datos desagregados, los cálculos y las fuentes utilizados están incluidos en la tabla “Ejemplos de secuelas”.

Ya que el Covid-19 es una nueva enfermedad, aún no es posible calcular lo que se conoce como DALY o “años de vida ajustados por discapacidad”, que es un indicador que mide la pérdida potencial de años de vida sana o de calidad, por el impacto de un padecimiento.

Es una medida que indica, por el contrario, el número de años de vida que una persona vivirá con malas condiciones de salud por las secuelas de una enfermedad.

“En el caso del SARS-CoV-2 el problema es que durante mucho tiempo y al principio se le trató como un virus que infecta las vías respiratorias, y esto no es así. Tiene la capacidad de infectar muchos tipos celulares y el problema es ese: que finalmente las secuelas no solamente impactarán el sistema respiratorio, sino que van a afectar al sistema circulatorio, al sistema renal y hepático, e incluso a los sistemas digestivo y reproductivo”, dijo a SinEmbargo el doctor Fidel Alejandro Sánchez Flores del IBT-UNAM.

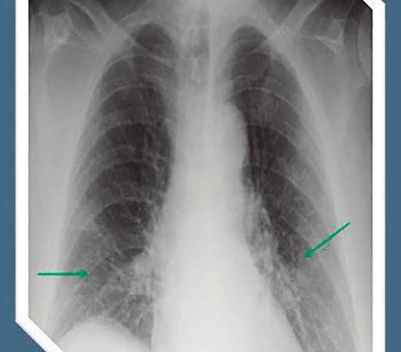
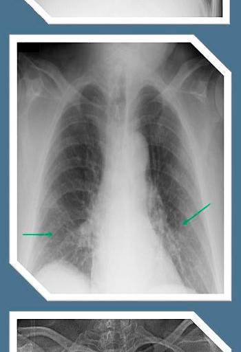
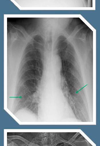
En el caso de las enfermedades respiratorias, la información disponible indica que también las personas asintomáticas, las que no tienen o tuvieron síntomas muy graves y aquellas que no fueron hospitalizadas presentan porcentajes de fibrosis en los pulmones.

“Eso definitivamente deja un órgano disfuncional y muchas personas han tenido que reaprender a respirar para aprovechar ese 50 por ciento de pulmón que les queda. Eso es una condición incapacitante”.

De acuerdo con el investigador de la UNAM, la incidencia y la frecuencia de secuelas aún es desconocida. Pero “lo que sí podemos decir es que si esto escala y se sigue infectando más gente, pues aunque el porcentaje (de personas con secuelas) sea bajo, el número de personas en estas situaciones con secuelas va a ser mucho mayor. Y lo que hay que pensar es si los sistemas de salud de los países son capaces de lidiar con estos porcentajes (de gente con secuelas) por muy bajos que sean”.

Para Sánchez Flores, “en un país como México, donde tienes más o menos 130 millones de habitantes (...), digamos que tendrías 1.3 millones (de personas afectadas) si las secuelas estuvieran presentes en el uno por ciento de la población. Si esto sucediera, aunque sea el uno por ciento, no creo que nuestro sistema de salud pudiera atender a 1.3 millones de personas que van a requerir tratamientos y seguimiento médicos a muy largo plazo”.

Así como la pandemia es capaz de reducir la calidad de vida, también es capaz de arrebatar la esperanza de vida, ya que uno y otro factores están proporcionalmente relacionados.

En ese sentido, un trabajo de investigación realizado por científicos de universidades de varios países -publicado en la revista Scientific Reports y citado por la agencia EFE- indica que la Covid-19 arrebató “una media de 16 años de vida” a cada uno de los casi 1.3 millones de difuntos por coronavirus en 81 países, cuyas causas y condiciones de muerte fueron estudiadas para la investigación.

El análisis científico también revela que, mientras que en países relativamente desarrollados la pérdida de años de vida tiene mayor incidencia en personas de 75 y más años, en países menos desarrollados las pérdidas de años de vida están mayormente relacionadas con personas menores de 55 años.

Las secuelas del SARS-CoV-2 son un hecho cada vez más documentado. En México, por ejemplo, será una situación “difícil de controlar” por la carga que tiene el sistema de salud, o por los “frentes de batalla que no se han podido combatir en los últimos 20 ó 30 años”, como lo son las epidemias de diabetes, hipertensión, obesidad y sobrepeso, explicó el médico de la UUSMB de la UNAM.

Pese a las dificultades, Sánchez Flores mencionó que el sistema de salud mexicano “no es malo, sino que simplemente está rebasado y ese rebase no ha tenido una respuesta planeada”. Como consecuencia, el día a día en México es una situación de carencias. “¿Qué tendría que hacerse? Pues invertir más en salud. Definitivamente y por ejemplo, si nos vamos dos años atrás, cuando se tomó la decisión de quitar el Seguro Popular para crear el Insabi que ha sido completamente inoperante, vemos decisiones que restan al esfuerzo de lidiar con grandes problemas de salud”, lamentó el investigador.

La insuficiencia del sistema de salud mexicano también implica una situación de “atención hospitalaria tardía o inexistente” que agrava las consecuencias de la pandemia, entre ellas la tasa de mortalidad por coronavirus, que ha llegado a cobrar la vida de uno de cada 10 infectados a nivel nacional.

“No solamente el servicio de salud colapsa. Todo el sistema productivo (de México) podría colapsar en un momento dado con las secuelas. Simplemente, una de las secuelas que dura mucho tiempo y que es bastante inhabilitante, aunque no incapacitante, es el dolor de cabeza. El 58 por ciento de las personas que se han infectado reportan dolores de cabeza o neuralgias que les hacen perder concentración. De ahí en fuera hay toda una serie de síntomas que finalmente van a afectar la capacidad de producir y de laborar de las personas”, señaló el médico especializado en biología celular.

Sin embargo, Sánchez Flores concluyó que “viendo lo positivo, México tiene una oportunidad de aprender. De aquí a 2022 tenemos la opción de invertir en vacunas e invertir en el desarrollo tecnológico de muchas cosas que justo tendremos que utilizar para este tipo de tratamientos de nuestras secuelas. Si aquí se hace evidente una secuela, hay que invertir en eso: en tratamientos e investigación”.

Pérdida de cabello, erupciones cutáneas, cansancio, dolores de cabeza, depresión, ansiedad, cambios de humor, desregulación del sueño, disfunción olfativa y gustativa, cognición alterada, deterioro de la memoria, anomalías de la función pulmonar como la fibrosis, inflamación del miocardio, disfunción ventricular y lesiones renales agudas son ejemplos de secuelas cada vez más ligadas al coronavirus.

Pero de acuerdo con investigadores, funcionarios y médicos internacionales, por el momento va a ser difícil asociar que una y otra secuelas sean consecuencia de la Covid-19. ¿Por qué? Porque no hay una historia clínica previa que permita saber si los síntomas de una condición que apareció después de la contracción del virus SARS-CoV-2 ya existía en el paciente y sólo se hicieron evidentes, o si había predisposiciones que junto con la infección propiciaron una secuela.

“Eso lo tendremos que estudiar en comparación con la población que no fue infectada, o aquella ya protegida y vacunada. Si finalmente el promedio de personas de poblaciones sanas o protegidas reportan menos casos, pues ya podemos saber si una condición es asociable a la Covid-19, a partir de estudios en retrospectiva. No hay otra manera de hacerlo”, explicó el doctor Fidel Alejandro Sánchez Flores del IBT-UNAM.

Aunque el estudio de las “secuelas tardías” de coronavirus aún está en curso, diversas instituciones públicas de salud refieren que las consecuencias del virus pueden implicar afecciones de daños orgánicos, estado hiperinflamatorio persistente y respuesta de anticuerpos inadecuada en pacientes que sufrieron infecciones agudas, o que se contagiaron y que sufren comorbilidades, e incluso, personas con buena salud y sin precondiciones o complicaciones durante la etapa de contagio.

“Probablemente, las secuelas persistentes de Covid-19 representan múltiples síndromes resultantes de distintos procesos fisiopatológicos a lo largo del espectro de la enfermedad”, señalan los Centros para el Control y la Prevención de Enfermedades (CDC, por sus siglas en inglés) de Estados Unidos.

“Conforme progresa la pandemia de Covid-19 ha ido aumentando la conciencia sobre los impactos a largo plazo de la infección por Covid-19, incluidas las secuelas cardiacas, neurológicas, metabólicas y respiratorias”, se lee en un estudio de la misión conjunta OMS-China sobre el Covid-19, en que la organización también refiere que las secuelas a largo plazo son “síntomas que se desarrollan después de seis semanas o que persisten más allá de las seis semanas del inicio de los síntomas de Covid-19, excluyendo síntomas y complicaciones que surgen durante la fase aguda de la infección”.

“Hay alguna evidencia de que la disfunción olfativa (e.g. disosmia) y la disfunción gustativa (e.g. disgeusia) son secuelas relativamente comunes a largo plazo [que están] asociadas con la infección de Covid-19”, advierte un documento de investigación de la agencia de Salud Pública de Ontario.

De acuerdo con el análisis de reportes oficiales a nivel mundial, además de esos síntomas, el síndrome inflamatorio multisistémico en niños, los problemas cardiovasculares, pulmonares, renales, hepáticos, metabólicos relacionados con glucosa y neurológicos están entre las posibles secuelas de la Covid-19.

Las organizaciones Panamericana de la Salud y Mundial de la Salud también indican que “es de esperar que las intervenciones agudas empleadas en el tratamiento de los pacientes con Covid-19 grave y crítica -como la ventilación mecánica, la sedación o el reposo prolongado en cama- puedan producir una serie de secuelas en la aptitud física, la respiración, la deglución, la cognición y la salud mental, entre otras”.

Las secuelas anteriormente referidas -o síndromes posteriores a cuidados intensivos- tienen mayor influjo en personas mayores y pacientes de cualquier edad con enfermedades crónicas. Sin embargo, la OPS y la OMS refieren que “los casos de Covid-19 grave que se recuperan sin haber necesitado ingreso en unidades de cuidados intensivos también pueden presentar estos síntomas en alguna medida”.

“De acuerdo con un estudio de investigadores independientes con expertos de varios países, el Covid-19 puede dejar hasta 55 secuelas y al menos cinco síntomas persistentes como la fatiga, dolor de cabeza, trastorno de atención, caída del cabello y disnea”, confirma un reportaje de EFE basado en el testimonio de la doctora Talia Wegman-Ostrosky, coautora de dicha investigación.