La OMS determinará si la viruela del mono constituye una emergencia de interés internacional

El director de la Organización ha convocado al Comité de Emergencias ante la expansión del virus a 32 países no endémicos. También se han publicado directrices para la vacunación selectiva contra la enfermedad
14/06/2022 17:07

GINEBRA._ El director de la Organización Mundial de la Salud ha convocado para el próximo 23 de junio al Comité de Emergencias para evaluar si el brote de viruela del mono representa una emergencia de salud pública de interés internacional.

Se trata del nivel más alto de alerta según el reglamento sanitario internacional, que actualmente sólo se aplica a la pandemia de COVID-19 y a la poliomielitis.

Este año se han notificado 1600 casos confirmados y 1500 sospechosos de viruela del mono, en 39 países, siete donde suele propagarse y 32 nuevos.

En lo que va de año, se han producido 72 muertes en los países previamente afectados. Hasta ahora no se han notificado muertes en los países donde ha aparecido recientemente, aunque la agencia de la ONU está tratando de verificar una muerte relacionada con la enfermedad en Brasil.

“El brote mundial de viruela del mono es claramente inusual y preocupante”, dijo Tedros, que considera que es el momento de intensificar la respuesta porque hay más países afectados y es necesaria la coordinación internacional.

El director adjunto para la respuesta a emergencias, Ibrahima Socé Fall, explicó que el riesgo de propagación en Europa se considera “alto” y en el resto del mundo “moderado” y que existen lagunas sobre cómo se está transmitiendo el virus.

”No queremos esperar hasta que la situación esté fuera de control”, aseguró sobre la convocatoria del comité de emergencia.

Aislamiento de contagios

$!La OMS determinará si la viruela del mono constituye una emergencia de interés internacional

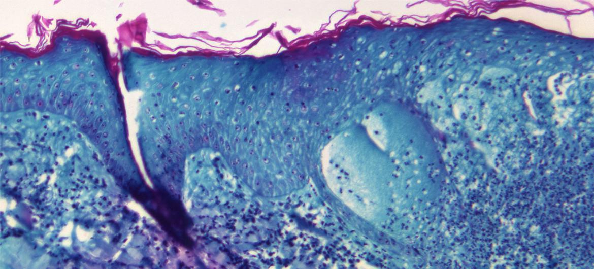
Las lesiones por viruela del mono suelen aparecer en las palmas de las manos.© CDC

Mientras tanto, la OMS ha publicado recomendaciones para los gobiernos sobre la detección y control de casos.

La experta en viruela Rosemund Lewis dijo que lo más importante es informar y crear conciencia en la población sobre el nivel del riesgo y explicar las recomendaciones para evitar contagiar a contactos cercanos y familiares.

Lewis detalló que, aunque la enfermedad a veces solo da síntomas leves, como lesiones cutáneas, se puede contagiar durante dos a cuatro semanas.

“Sabemos que es muy difícil para la gente aislarse tanto tiempo, pero es muy importante para proteger a otros. En la mayoría de los casos, la gente puede aislarse en casa y no es necesario estar en el hospital”, sostuvo.

Se puede contraer la viruela del mono a través del contacto físico estrecho con alguien que tenga los síntomas.

La erupción, los fluidos y las costras son especialmente infecciosos.

La ropa, la ropa de cama, las toallas o los objetos, como los utensilios para comer o los platos, que se han contaminado con el virus también pueden infectar a otras personas.

No está claro si las personas que no tienen síntomas pueden contagiar la enfermedad.

Directrices para la vacunación

$!La OMS determinará si la viruela del mono constituye una emergencia de interés internacional

La viruela del mono es una infección rara pero peligrosa, similar al ya erradicado virus de la viruela.© CDC/Cynthia S. Goldsmith

La OMS ha publicado nuevas directrices sobre la vacunación contra la viruela del mono.

Algunos países han mantenido suministros estratégicos de vacunas antiguas contra el virus de la viruela que se erradicó en 1980. Estas vacunas de primera generación que se mantienen en las reservas nacionales no se recomiendan para la viruela del mono en este momento, ya que no cumplen las normas actuales de seguridad y fabricación.

También existen vacunas nuevas y más seguras (de segunda y tercera generación) contra la viruela, algunas de las cuales pueden ser útiles para la viruela del mono y una de las cuales (MVA-BN) ha sido aprobada para la prevención de la viruela del mono.

El suministro de las nuevas vacunas es limitado y se están debatiendo estrategias de acceso.

En este momento, la Organización Mundial de la Salud no recomienda la vacunación masiva. “Las decisiones sobre el uso de las vacunas contra la viruela o la viruela del mono deben basarse en una evaluación completa de los riesgos y los beneficios en cada caso”, aseguran.

Para los contactos de los pacientes, se recomienda la profilaxis posterior a la exposición con una vacuna contra de segunda o tercera generación, idealmente dentro de los cuatro días siguientes a la primera exposición para prevenir la aparición de la enfermedad.

La profilaxis previa a la exposición se recomienda para los trabajadores sanitarios de riesgo, el personal de laboratorio que trabaje con ortopoxvirus, el personal de laboratorio clínico que realice pruebas de diagnóstico de la viruela del mono y otras personas que puedan estar en riesgo.

Rosemund Lewis explicó que la mayoría de los datos sobre la vacuna de la viruela son antiguos o de estudios con animales. “No hay muchos estudios clínicos”, dijo.

Por ello, la OMS subraya la importancia de que los programas de vacunación estén respaldados por una vigilancia exhaustiva y un seguimiento de los contactos, y vayan acompañados de campañas de información y una farmacovigilancia sólida, idealmente con estudios colaborativos sobre la eficacia de la vacuna.

El doctor Tedros también dijo que la OMS está trabajando con sus socios en el cambio de nombre de la viruela del mono y sus variantes, así como en un mecanismo para ayudar a compartir las vacunas disponibles de forma más equitativa.

Sigue el descenso de casos de Covid-19

$!La OMS determinará si la viruela del mono constituye una emergencia de interés internacional

Las vacunas Covid-19 se están administrando en las comunidades que acogen a los refugiados, como Fort Portal, en Uganda.© UNICEF/Maria Wamala

Sobre la situación de la pandemia de Covid-19, Tedros dijo que “tanto los casos como las muertes notificadas han disminuido en más de un 90% con respecto a los máximos alcanzados a principios de este año”.

“Se trata de una tendencia muy positiva. Aun así, la semana pasada se notificaron a la OMS más de tres millones de casos, y como muchos países han reducido la vigilancia y las pruebas, sabemos que esta cifra real es superior”, matizó.

En ese periodo, se notificaron 8737 muertes, un “nivel inaceptable”, añadió, “cuando tenemos las herramientas para prevenir, detectar y tratar esta enfermedad”.

El director de la OMS pidió a los países que logren un acuerdo sobre la exención temporal de los derechos de propiedad intelectual para las vacunas, tratamientos y pruebas de diagnóstico del Covid-19 durante la Conferencia Ministerial de la Organización Mundial del Comercio de esta semana.

“Como he dicho muchas veces, la exención se creó para utilizarla en casos de emergencia. Así que, si no es ahora, ¿cuándo?”, dijo.

A esa petición se sumó la relatora especial sobre las formas contemporáneas de racismo, E. Tendayi Achiume, llamando a las desigualdades en el acceso a las inmunizaciones una forma de “apartheid de las vacunas”.

”Dado que los más perjudicados por el apartheid de las vacunas son los pueblos racialmente marginados, la desigualdad de acceso a las vacunas y los tratamientos contra el COVID-19 dentro de las naciones y entre ellas es innegablemente una cuestión de injusticia racial”, dijo Achiume en una carta abierta a los miembros de la OMC.

“Esta injusticia se ve agravada por la persistente desigualdad de riqueza, poder y recursos sanitarios entre los Estados, que puede remontarse a historias transnacionales de racismo y colonialismo”.

$!La OMS determinará si la viruela del mono constituye una emergencia de interés internacional

Un vendedor en la entrada de Han Zheng Jie, una zona peatonal de Wuhan, China, en enero de 2021.Chen Liang

En la rueda de prensa de la OMS, Tedros también se refirió al informe sobre los orígenes del SARS-CoV-2 del Grupo de Asesoramiento Científico sobre los Orígenes de Nuevos Patógenos (SAGO).

“Todas las hipótesis deben permanecer sobre la mesa hasta que tengamos pruebas que nos permitan descartar o aceptar ciertas hipótesis. Seguimos pidiendo a China que colabore con este proceso y lleve a cabo los estudios que SAGO ha recomendado”, sostuvo.